Opinión- Javier Aranda Luna: Marilyn Monroe: la poeta que se convirtió en sex symbol
- Elena Poniatowska: Sobre Borges y México
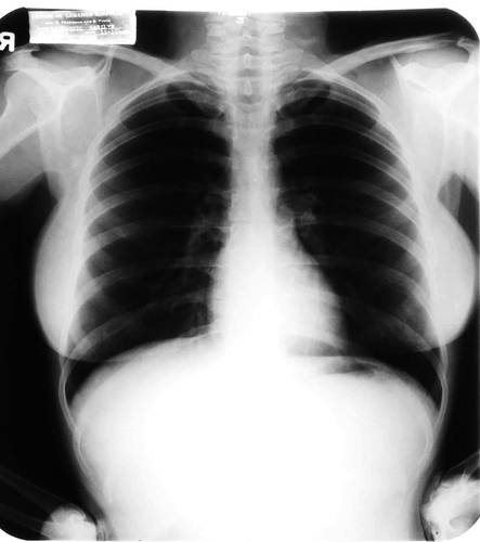
El 29 de junio de 2010 la casa de subastas Julien’s, en Las Vegas, vendió tres radiografías del tórax de Marilyn Monroe en 45 mil dólares, más de 10 veces el valor estimado antes del remate. Las placas fueron tomadas durante una visita al hospital Cedros del Líbano, en 1954, seis años antes de su fallecimiento. El comprador prefirió mantenerse anónimo
El 5 de agosto de 1962 hallaron a la diva de Hollywood inerte y desnuda en su domicilio
Oficialmente, la actriz se suicidó con fármacos, pero diversas inconsistencias generaron sospecha de homicidio
En la autopsia no se detectaron rastros de píldoras en su estómago, pero sí señales de violencia en la espalda, informó el patólogo encargado Thomas Noguchi
De la Redacción
Así cubrió la prensa nacional la visita de la actriz, entre febrero y marzo de 1962
Si las circunstancias fueran las mismas, me volvería a desnudar
, reveló a los reporteros
Su cuerpo está en las mejores condiciones, pero ahora es más exclusivo quien puede verlo
Marilyn Monroe leyendo La muerte de un viajante, obra de Arthur Miller, 1952, en imagen incluida en el libro prologado por Antonio Tabucchi, que editorial Planeta distribuye en México
Foto Ben Ross
Ofreció una charla en el centro Villaurrutia
La estudiosa de la lengua anglosajona relató al público su primer encuentro con Borges
Marilyn Monroe
Alondra Flores
Pablo Espinosa








