Ciencias
Ver día anteriorMartes 2 de noviembre de 2021Ver día siguienteEdiciones anteriores
Servicio Sindicado RSS
Hallan causas por las que avanza el Alzheimer
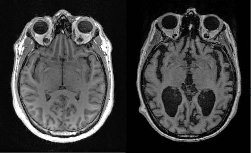
Foto
▲ En esta imagen sin fecha, cortesía de Timothy Rittman, de la Universidad de Cambridge, se observa la resonancia magnética de un cerebro sano (izquierda) y de uno enfermo (derecha) con grandes espacios negros donde el órgano está encogido. Foto Afp

Proteínas tóxicas llegan de forma temprana al cerebro y se acumulan durante décadas, revela análisis realizado con datos de tomografías y muestras post mortem de humanos

Afp
Tecnología rusa permite diagnosticar en segundos males de pulmón relacionados con Covid

Inteligencia artificial procesa imágenes computarizadas con alta velocidad y mayor precisión, explican

Entrega de órganos por dron
Foto
▲ En su vuelo inaugural, un dron Unither Bioelectronique despegó de un hospital de Toronto, Canadá, con una carga preciosa: pulmones humanos para un trasplante, los primeros entregados por ese medio. Sobre estas líneas, un técnico revisa el artefacto para su histórico vuelo, realizado en septiembre. Foto Afp
Sputnik